For many people height is a big factor. If you are one of those people who are insecure about their height, then you landed in the right place. You might assume, increasing height is a big deal, but it is not...
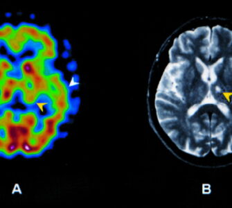
Understanding Brain SPECT ─ The Essential Insights for Health and Wellness
Brain Single Photon Emission Computed Tomography (SPECT) is a sophisticated imaging method that utilizes radioactive tracers to examine and visualize brain function. This nuclear medicine technique allows health...

















